Before & After Smile Gallery
-
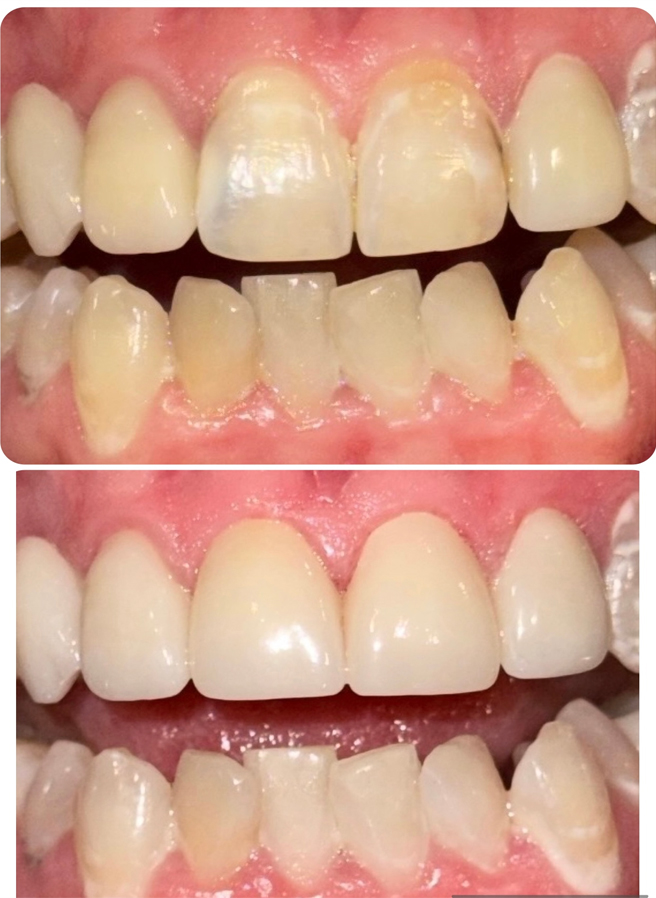
Dental Crowns
-
Clear Aligners
-
ICON Treatment
-
Kor Teeth Whitening
-
ClearCorrect Clear Aligners
-
Dental Crowns
Includes Exam and Regular Cleaning
* New Patients Only. Exclusions apply to the type of cleaning.
Includes Exam and X-Rays
* Restrictions may apply, limited time offer.
For children 12 and under
* Restrictions may apply.
Includes free consultation, free whitening and affordable payment options.
* Restrictions may apply, limited time offer.